X-Ray Images Show “Post-Covid Lungs” Worse Than “Smokers Lungs” After The Virus Leaves Organs Scarred And Damaged
Texas: Shocking x-ray images show that the scarring and damage left on the lungs of recovered coronavirus patients is worse than that on the lungs of smokers.
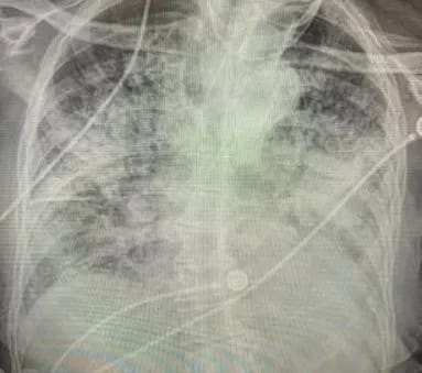
The pictures were shared by Dr Brittany Bankhead-Kendall, an assistant professor at Texas Tech University Health Sciences Center who has treated thousands of Covid patients since the pandemic got underway last year.

A long X-ray showing the damage done by coronavirus Credit: Dr Brittany Bankhead-Kendall
An X-ray of a smoker’s lung Credit: Dr Brittany Bankhead-Kendall
A normal healthy pair of lungs Credit: Dr Brittany Bankhead-Kendall
One image shows a normal healthy pair of lungs, another the lungs of a smoker, and the third the lungs of a coronavirus patient.The normal lungs are dark and see-through, the smoker’s are partly whited by scarring, while the coronavirus patient’s are in parts almost opaque.
Writing on twitter, Dr Bankhead-Kendall said: “I don’t know who needs to hear this, but ‘post-Covid’ lungs look worse than any type of terrible smoker’s lungs we’ve ever seen.
“And they collapse. And they clot off. And the shortness of breath lingers on… & on… & on.”
Doctors have previously warned about the effects of long Covid, a set of symptoms experienced by many who have otherwise recovered from coronavirus.
They include fatigue, breathlessness, palpitations, joint and muscle pain, and brain fog.
Speaking later to CBS 11, Dr Bankhead-Kendall said: “After I shared this on twitter, I cannot tell you how many responses I received about people experiencing this exact thing.
“Everyone’s just so worried about the mortality thing and that’s terrible and it’s awful. But man, and all the survivors and the people who have tested positive this is, it’s going to be a problem.”
She said that, of the people she’s treated, all of those who had experienced symptoms had a poor chest x-ray.
She said even people who had not experienced symptoms had poor x-rays around three quarters of the time.
She added that’s it’s not yet known whether any scarring caused by coronavirus would heal, but that anyone experiencing lasting shortness of breath should speak with their doctor.

